多重纯化方法,根据客户需求,提供高品质,高纯度mRNA产品 星空体育网页版, 。

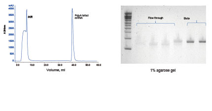
粗纯:使用Oligo-dT亲和层析除去蛋白残留,小分子等工艺相关杂质,降解杂质/未加尾的序列 星空注册。

精纯:使用反相高效液相/疏水/阴离子交换等方法,除去dsRNA,实验确保dsRNA比例小于0,1% 。 星空下载。
星空体彩app官方为客户提供客户定制化服务,提供从基因合成,质粒制备,质粒线性化,IVT mRNA合成 星空官网,模块化灵活的端到端的服务,通过星空体彩app官方专有的mRNA 生产平台,确保您的 mRNA 的质量和表达效率, 。
一体化生产流程
从基因合成到mRNA合成
专业的技术团队和优化平台
加速定制化高品质mRNA产品需求
现货/定制化mRNA
多种选择,满足您的研究需求
星空体彩app官方为您提供从研究级到临床前mRNA合成服务,全方位满足您的项目需求 星空体育登录, 。
订购量 | NTP修饰类型 | 纯化方式 | QC |
---|---|---|---|
|
|
|
|
注:*可选服务,欢迎详询。
QC | 项目 | 研究级 | 临床前 | ||
---|---|---|---|---|---|
标准 | 升级 | 标准 | 升级 | ||
鉴定 | 外观 | ![]() |
![]() |
![]() |
![]() |
RNA长度(毛细管电泳) | ![]() |
![]() |
![]() |
![]() |
|
RNA长度(琼脂糖凝胶电泳) | ![]() |
![]() |
![]() |
![]() |
|
Poly A 长度 | ![]() |
![]() |
![]() |
![]() |
|
RNA含量 | ![]() |
![]() |
![]() |
![]() |
|
PH | ![]() |
![]() |
![]() |
![]() |
|
缓冲液规格 | ![]() |
![]() |
![]() |
![]() |
|
纯度 | A260/280 | ![]() |
![]() |
![]() |
![]() |
加帽效率 | ![]() |
![]() |
![]() |
![]() |
|
纯度(毛细管电泳) | ![]() |
![]() |
![]() |
![]() |
|
杂质 | 残留蛋白质 | ![]() |
![]() |
![]() |
![]() |
残留DNA | ![]() |
![]() |
![]() |
![]() |
|
dsRNA | ![]() |
![]() |
![]() |
![]() |
|
安全性 | 内毒素(半定量) | ![]() |
![]() |
![]() |
![]() |
内毒素(定量) | ![]() |
![]() |
![]() |
![]() |
|
生物负载 | ![]() |
![]() |
![]() |
![]() |
注:升级QC均需要支付额外费用 星空平台, 。
多重纯化方法,根据客户需求,提供高品质,高纯度mRNA产品 星空体育网页版, 。
粗纯:使用Oligo-dT亲和层析除去蛋白残留,小分子等工艺相关杂质,降解杂质/未加尾的序列 星空注册。
精纯:使用反相高效液相/疏水/阴离子交换等方法,除去dsRNA,实验确保dsRNA比例小于0,1% 。 星空下载。
mRNA分子修饰的作用:降低外源mRNA的免疫原性. 增强mRNA的稳定性 星空官方网站. 提高mRNA的翻译效率.
大于80A的PolyA尾可提高蛋白翻译效率。星空体彩app官方表达质粒骨架,提供不同类型优化后带Poly A尾结构的质粒模板。
通过星空体彩app官方共转录加帽技术,可高效合成Cap1结构。
IVT mRNA & LNP 服务手册 New!